Projects
Selected works and side projects
Research & Industry Projects
Raon-VisionEncoder
Raon-VisionEncoder
Krafton AI
A Fully Open SigLIP2-class Vision Encoder
  • Developed a vision encoder with comparable performance to SigLIP2-NaFlex using only open data
  • Built VLM training pipeline integrating the vision encoder with a language model for downstream VQA evaluation and training optimization
VideoAlchemist 2.0
VideoAlchemist 2.0
Snap Inc.
Multi-Subject Personalized Video Generation
  • Developed a personalized video generation model supporting multiple subjects with fine-grained temporal control
  • Built cross-reference dataset pipeline and multi-subject adapter architecture for personalized video generation
  • Contributed to foundation of dataset generation pipeline and adapter design of AlcheMinT
3D-Aware VLM Finetuning
Samsung Research
Personal Projects
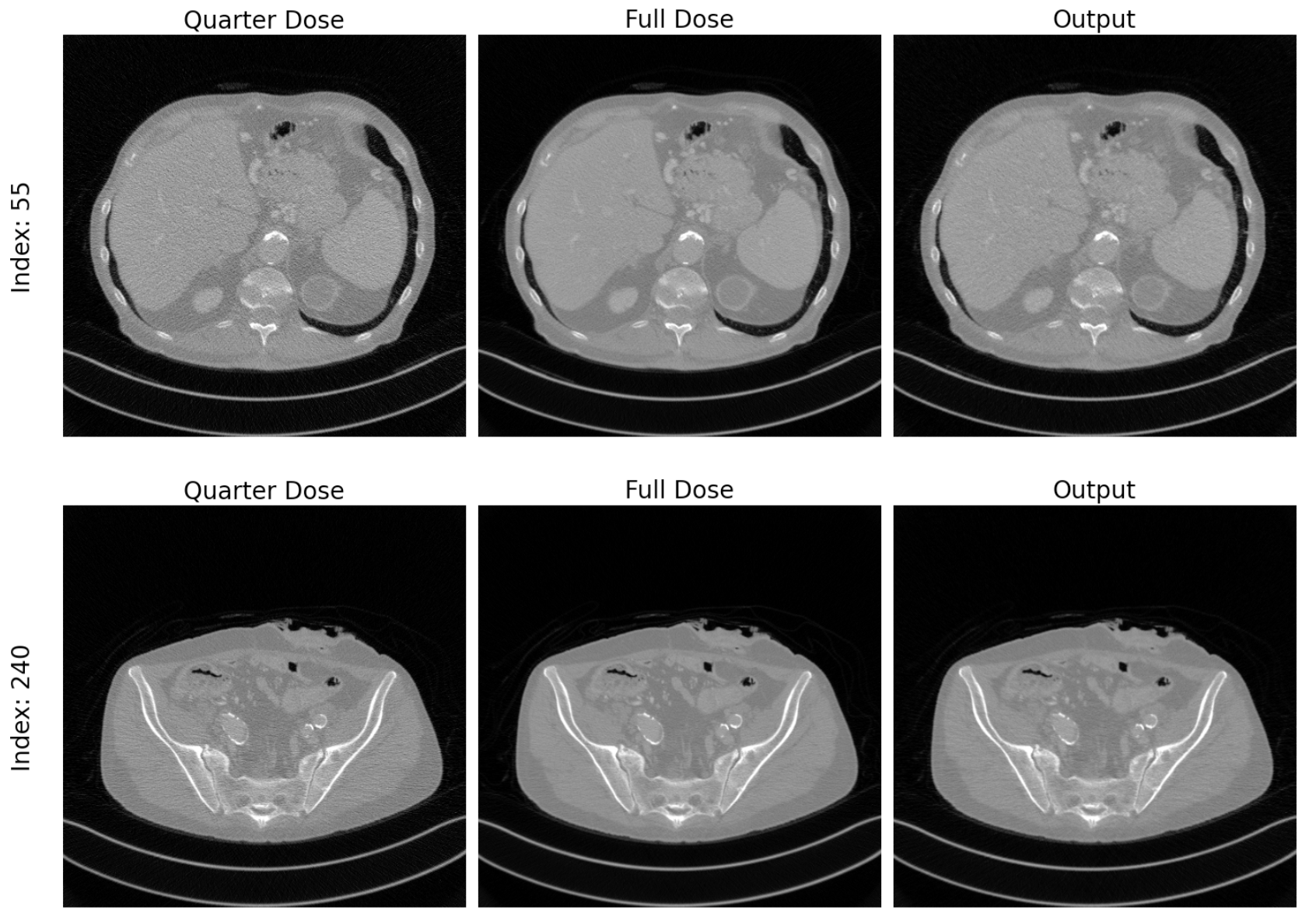
CT Denoising CycleGAN
CT Denoising CycleGAN
Low-Dose CT Image Denoising via Unpaired Image-to-Image Translation
  • CycleGAN to denoise quarter-dose CT images into full-dose quality without paired training data
  • Compared CycleGAN losses vs. supervised losses for CT image quality enhancement
Keywords: CycleGAN, Medical Image Denoising, Unpaired Image Translation
SHrack
SHrack
Mobile Web Service for Real-time Exercise Count Tracking
  • Web-based real-time video streaming service for accurate exercise count detection
Keywords: MobileNet, Contextual Prediction Module
RECJOON
RECJOON
Baekjoon Online Judge Problem Solving Recommendation System
  • Developed during Naver Boostcamp AI Tech 3rd (Mar. 2022 ~ Jun. 2022)
Keywords: Recommendation System, Content-Based Filtering
KUVIS
KUVIS
Web-based Visual Programming Software with Deep Learning in Medicine
  • Advised by Prof. Wonki Jeong · Jul. 2022 – Aug. 2022
Keywords: Visual Programming, Parallel Computing for Deep Learning